Smile Fit
당신의 가장 예쁜 미소를 찾아드립니다.
내 치아를 살리는 아름다움,
본연의 아름다움을 만나보세요.
치아 삭제 없이 본래를 보존하는
최첨단 라미네이트입니다.
스마일핏의 가장 큰 특징은 치아 손상 없이 그대로의 자연스러운 치아 위에 섬세하게 부착된다는 점입니다. 미세한 두께 조절과 정교한 디자인은 기계적 방식으로는 구현하기 어려운 정밀함을 필요로 하며,
이는 전문 치과 장인의 노하우가 더해져 가능한 결과입니다.
특히 치아 사이 경계(Interproximal)나 미세한 치면 굴곡 같은 까다로운 부위도 자연스럽게 밀착되도록 맞춤 제작되어, 일반적인 라미네이트로는 얻기 힘든 자연스러운 적합감과 심미성을 제공합니다.
스마일핏은 이러한 기술력 덕분에 치아 삭제 없는 보존적 치료법임에도 불구하고 안정적인 부착력과 탁월한 심미성을 동시에 실현합니다.
스마일핏 디자인
이제는 누구에게나 똑같은 라미네이트를 적용하던 시대는 끝났습니다.
스마일핏의 디자인은 개인의 치아를 삭제하지 않고도 단점은 감추고
장점은 더욱 돋보이게 만들어줍니다.
이제는 누구에게나 똑같은 라미네이트를 적용하던 시대는 끝났습니다.
스마일핏의 디자인은 개인의 치아를 삭제하지 않고도
단점은 감추고 장점은 더욱 돋보이게 만들어줍니다.
환자의 얼굴형, 잇몸 라인, 치아 배열과 색조, 표정 습관까지 세밀하게
분석하여, 본인에게 가장 자연스럽게 어울리는 미소를 디자인합니다.
또한 상담 미팅을 통해 환자의 라이프스타일과 미소에 대한 기대감까지
반영합니다.
환자의 얼굴형, 잇몸 라인, 치아 배열과 색조, 표정 습관까지 세밀하게
분석하여, 본인에게 가장 자연스럽게 어울리는 미소를 디자인합니다.
또한 상담 미팅을 통해 환자의 라이프 스타일과
미소에 대한 기대감까지 반영합니다.
이 과정에서 스마일핏 전문 의료진의 섬세한 디자인 어드바이스가
더해져, 본래 치아를 유지하며서도 세상에 단 하나뿐인 나만의 미소가
완성됩니다.
이 과정에서 스마일핏 전문 의료진의
섬세한 디자인 어드바이스가 더해져, 본래 치아를 유지하면서도
세상에 단 하나뿐인 나만의 미소가 완성됩니다.
정밀한 3단계 디지털 분석
디지털 기반 정밀 진단
스마일핏은 한 차원 높은 디지털 분석 시스템을 바탕으로, 개인의 구강 구조와 얼굴형, 치아 배열까지 정밀하게 진단합니다.
그 결과, 단순한 심미 개선을 넘어 환자 본연의 아름다움과 조화를 이루는 최적의 디자인을 완성합니다.
-
Ray Face
얼굴형, 입술선 등
외형을 스캔하여 자연스러운
미소 디자인의 기초 데이터를
수집합니다.얼굴형, 입술선 등 외형을 스캔하여 자연스러운
미소 디자인의 기초 데이터를 수집합니다. -
TRIOS S
구강 구조를 고정밀 3D 스캔으로
디지털화하여 오차없는
정확한 데이터를 확보합니다.구강 구조를 고정밀 3D 스캔으로
디지털화하여 오차 없는 정확한 데이터를 확보합니다. -
CAD 분석
미소 곡선을 기반으로
보철과 교정을 통합 시뮬레이션하여
최적의 심미 설계를 완성합니다.미소 곡선을 기반으로 보철과 교정을 통합 시뮬레이션하여
최적의 심미 설계를 완성합니다.
스마일핏 특허 출원
스마일핏은 전국 10개의 치과병원이 공동으로 연구 개발한 브랜드로 기능+심미+정밀함을 모두 갖춘 프리미엄 보철 시스템입니다.
-
3D 미소 디자인 알고리즘
얼굴형ㆍ입술선ㆍ치열 기반으로 AI가 분석하여 최적의 미소 곡선을 설계합니다.
표정과 움직임까지 고려한 종합적 디자인으로 자연스러운 결과를 제공합니다. -
치아 삭제 최소화 기술
0.1mm 단위의 정밀 분석으로 기존 대비 치아 삭제량을 현저히 줄입니다.
자연치 보존을 최우선으로 하는 안전한 시술 기술입니 다. -
3D 세렉 시스템
보철 블록 설계를 위한 첨단 디지털 시스템으로,
정교한 보철물 제작과 빠른 시술 시간을 가능하게 합니다.


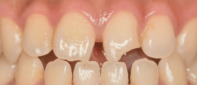
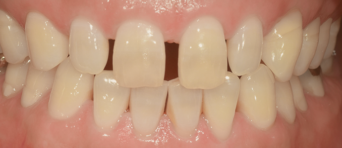
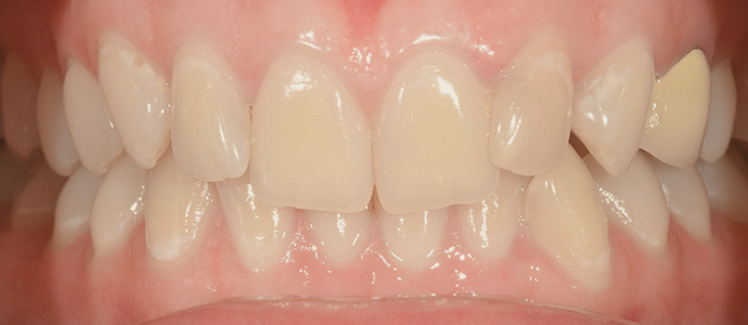
자연스러운 프리미엄 치아 필름입니다.
치아삭제가 필요없습니다.
장점이 있고 가격이 저렴합니다.
투명도는 다소 떨어집니다.
아름다운 미소는 선택이 아닌 설계입니다.
중요한 순간마다 완성된 미소는 당신을 더 빛나게 만듭니다.
중요한 순간을 위한 미소
스마일핏으로 준비하세요.
